3D打印生物型人工膝關節在國內成功植入!
2021年11月12日 |
閱讀次數:14283D打印技術是順應精準醫療發展方向而日漸崛起的高新技術,它能為醫者提供更加豐富的疾病判斷與治療手段,并為患者提供更加個性化、高效化的診療服務。近年來,在國家科技發展計劃的有力支持以及監管科學的有效推動下,我國3D打印骨科技術部分研究成果達到世界ling先水平。

「全球shou款3D打印分區骨小梁生物型膝關節假體」
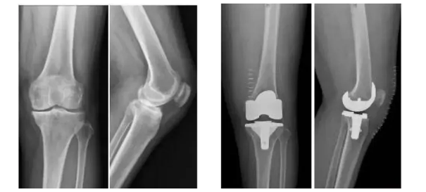
膝關節骨關節炎是一種退行性疾病,近年隨著經濟發展和人口老齡化趨勢日趨明顯,尤其是在中老年群體發病率較高,因此膝關節置換術需求量日益增長。此外,隨著居民生活水平的提高,大多患者對于膝關節置換術術后的生活質量和植入假體有了更高的要求,隨之假體在設計和創新方面也更精準、更便捷化。全球shou款3D打印分區骨小梁生物型膝關節假體正是在這種高需求與高期待的新形勢下應運而生。
目前臨床上使用的膝關節假體多為骨水泥固定型假體,骨水泥即骨粘固劑,它可以將膝關節假體固定在骨界面上。骨水泥固定存在一定局限,如骨水泥單體具有一定的毒性;與骨接觸面的骨溶解問題;隨著時間推移,會發生變形和退變等。
本次植入的生物型膝關節假體在術中無需使用骨水泥,通過機械方式進行固定,即假體與骨組織的緊密結合,獲得假體的初始穩定性,遠期骨組織長入假體表面的微孔內部,實現由機械固定向生物.內鎖固定的轉化,zui終經過骨整合作用獲得良好固定,預期能夠獲得更長的假體壽命。此外,生物型膝關節假體避兔了骨水泥相關并發癥的發生,縮短了手術時間,zui大程度保留了骨組織。因而減輕了患者術后疼痛,降低了圍術期并發癥發生率,有利于患者術后快速康復。
周宗科教授介紹說,該款3D打印分區骨小梁生物型膝關節假體有三個亮點,一是脛骨平臺假體采用了3D打印骨小梁分區技術,三分區設計使宿主骨均勻骨長入,避免因應力分布不均而造成平臺假體松動等問題;二是所用股骨髁假體表面為真空等離子噴涂純鈦涂層,其粗糙的接觸面增加了骨誘導的能力,具有優異的即刻穩定和長期穩定性;三是所用平臺墊為添加維生素E的高交聯超高分子量聚乙烯材質,具有優異的耐磨性能。
「千億級市場」
據相關統計,2017年全球骨科植入類耗材市場規模超380億美元(折合人民幣2428億),約占全球醫療器械市場總規模的9.0%,是醫療器械第四大細分子領域;預計2022年可達到500億美元(折合人民幣3195億)。集中度較高,強生、捷邁邦美、史賽克合計占約60%市場份額。

在醫療領域內,骨科植入物是3D打印技術zui早實現產業化的細分領域,3D打印技術由于能夠根據患者需求個性化地定制植入物形狀,并且可精確控制植入物的復雜微觀結構,實現植入物外形和力學性能與人體骨骼的雙重適配,在骨科植入領域備受青睞,發展迅猛。
蔡司符合監管體系要求,了解制造企業及其質量部門面臨的挑戰??紤]到材料的特性,骨科植入物可以根據制造工藝分類,蔡司能夠為您特定的制造環節提供定制化質量解決方案,幫助您提高生產效率。



